...

Smile Gallery

Want an accomplished dentist for your smile transformation?

We specialize in smile makeovers to beautifully enhance your smile. Using advanced techniques and technology, Dr. Loveless can repair multiple flaws at once for naturally stunning, confident healthy smile results you’ll love to share.

Call or Text to Get in Touch with us Today

A smile makeover isn't just cosmetic. It's life-changing confidence.

Click the Smiles Below to View the Before & After Photos of Our Real Patients

From Complex Reconstructions to Subtle Enhancements
- No Smile Challenge is Too Great for Dr. Lance Loveless.

A man in business attire smiling for a dental photography session against a black background.

From Complex Reconstructions to Subtle Enhancements
- No Smile Challenge is Too Great for Dr. Lance Loveless.

A man in business attire smiling for a dental photography session against a black background.
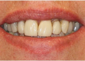
Man smiling at the camera with short brown hair and a short beard, capturing Aaron's interest area.
Close-up of a person's mouth showing uneven and discolored teeth, with a mustache above the upper lip. Aaron

Before

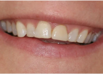
Man with a beard smiling happily at the camera.
Close-up of a person's radiant smile showcasing pristine white teeth.

After

Adeline, an elderly woman with gray hair, smiling and displaying dental work.
Close-up of Adeline's mouth showing uneven and discolored teeth.

Before

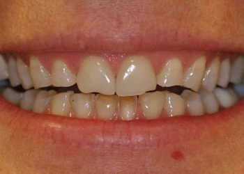
Adeline smiling with headrest in the background.
Close-up of Adeline's smile showing lips with red lipstick and white teeth.

After

A man with short hair smiling at the camera against a speckled background, doing his best given the constraint.
Certainly! Here's a modified description incorporating your request:

A close-up of a person's smile showing uneven and slightly stained teeth.

Before

A smiling man named Alex with blue eyes and a white shirt against a textured beige background.
Unfortunately, the provided description "Alex's close-up smile showing white teeth" is too vague and does not offer enough information to accurately select important SEO keywords. Could you provide more details or a broader context

After

Close-up portrait of a woman named Alison with blonde hair and green eyes smiling at the camera.
A close-up of Alison's smile showing uneven and discolored teeth.

Before

A smiling woman with blonde hair and earrings against a mottled beige background.
Close-up of Alison's smile showing white teeth.

After

Close-up portrait of a smiling man with fair skin and Andrew's light brown hair.

Before

A close-up of Andrew, a smiling man with short hair.
Close-up of a person's closed mouth, displaying white teeth with a slight overbite.

After

Middle-aged woman with a smile, gray-blond hair, wearing a white shirt, known as Angela Johnson.
Close-up of Angela Johnson's partial smile showing teeth and lower lip.

Before

Mature woman, identified as Angela Johnson, smiling at the camera.
Close-up of Angela Johnson's closed mouth, showing healthy white teeth and part of the lower face without revealing her identity.

After

A smiling woman with shoulder-length dark hair and earrings poses elegantly.
Close-up of a person's smile showcasing teeth with a dental crown on the back molar.

Before

A close-up portrait of a smiling woman with dark hair named Anna.
Close-up of Anna's smile showing teeth and lips.

After

Close-up of a smiling industry professional with freckles and uneven teeth.
Close-up of a person's smile showing misaligned teeth, capturing a detailed view.

Before

A smiling woman with hoop earrings and straight long hair is Ashley L.
A close-up of Ashley L smiling, showcasing white teeth.

After

Close-up portrait of a smiling woman named Barbara with blond hair.
Close-up of Barbara's closed lips showcasing a slight smile with visible teeth, one of which appears to be chipped.

Before

Barbara smiling at the camera with short hair.
Close-up of Barbara's closed mouth, showing teeth and lower part of the nose.

After

Close-up of a smiling person with a mustache, making it challenging to accurately determine SEO keywords without a more detailed description.
Close-up of a smiling person's mouth showing teeth and facial hair.

Before

Man with a beard, smiling at the camera, is Bill B.
I'm sorry, but without proper keywords or a clear context for modification, it's challenging to accurately update the description. Could you please provide more details or specify the keywords you'd like to include?

After

A close-up of a smiling woman with long hair holding a brandy.
Close-up of a person's lips slightly parted to show irregular and discolored teeth, hinting at the long-term effects of brandy consumption.

Before

Smiling woman with earrings and a necklace holding a glass of Brandy against a black background.
Close-up of a person's closed mouth showcasing teeth and brandy-stained lips.

After

Smiling man with dark hair on a black industry background.
A close-up of Bryan's smile, showing uneven teeth with some discoloration and the presence of a few spaces between them.

Before

A smiling man named Bryan with dark hair against a black background.
Close-up of a person's radiant smile showing healthy, white teeth.

After

Christine Manley smiling with sunglasses on her head.
Close-up of a smiling Christine Manley with an uneven teeth alignment.

Before

A close-up portrait of a smiling woman with blonde hair, Christine Manley.
Close-up of Christine Manley's smiling mouth showing teeth and lips.

After

Close-up of a smiling person wearing black-framed glasses and a Clair R.
Close-up of a person's smile showing teeth, lips, and a clair retainer.

Before

Smiling woman with glasses, clair hair, and blonde highlights.
Close-up of a smiling person with a focus on the mouth, showcasing white teeth and visible signs of skin aging.

After

Woman with dark hair smiling at the camera, showcasing makeup with heavy eyeliner. Based on the information provided.

Before

A smiling woman named Claudia Peden with shoulder-length dark hair against a black background.
Close-up of Claudia Peden's smile showing teeth and lips.

After

Man with spiked hair and a light beard smiling at the camera, resembling Clay Buchholz.
Close-up of Clay Buchholz's mouth showing uneven teeth with slight discoloration.

Before

Clay Buchholz smiling at the camera with short curly hair and a light beard.
Close-up of Clay Buchholz's smile showing uneven teeth with one central incisor slightly protruding forward.

After

Certainly, without additional specified keywords from the initial input, I can only directly modify your existing description as per instruction. Here is a slightly modified version:

"A middle-aged man with a mustache smiling warmly
Close-up of an individual's mouth, highlighting a slight dental misalignment.

Before

A smiling man named Dan with a mustache wearing a blue shirt against a marbled background.
Close-up of a smiling person showing teeth and a mustache.

After

Close-up of a smiling man with a thick mustache.
Close-up of David's human teeth with dental braces.

Before

Man with a mustache smiling against a black background.
Close-up view of human teeth showing upper and lower incisors, highlighting dental hygiene.

After

A smiling woman named DeAnna with dark hair and a visible glow on her forehead.
Close-up of a person smiling, showing uneven teeth, without additional context.

Before

A smiling woman named DeAnna, with her hair pulled back, wearing a red top and a silver necklace against a black background.
Close-up of DeAnna's smiling mouth showing teeth.

After

An elderly man named Dwight Kelly with a beard smiling at the camera.
Close-up of Dwight Kelly's mouth with a mustache and beard, showing teeth and lips.

Before

Dwight Kelly, a smiling man with a shaved head and a goatee.
A close-up of Dwight's closed mouth showing teeth and surrounded by facial hair.

After

Close-up of a smiling man with salt-and-pepper hair, exuding charm.
Close-up of Eddie's open mouth showing misaligned and discolored teeth with visible plaque buildup.

Before

A smiling man with graying hair wearing a blue shirt and glasses.
Close-up image of Eddie's smile, showing white teeth with one central incisor slightly overlapping the other.

After

Edith, a mature woman with a smile, wearing earrings and a blue top.
Close-up of a smile showing teeth and lips with red lipstick, reminiscent of famous Edith's biography.

Before

A portrait of Edith, a smiling woman with short blonde hair and gold hoop earrings.
A close-up of Edith's smiling mouth with red lipstick.

After

Close-up portrait of a smiling elderly woman with short hair, pearl earrings, and a gold necklace by EMilburn.
Close-up of a person's mouth showing uneven teeth and a slight overbite, captured by EMilburn.

Before

Elderly woman with a warm smile outdoors at EMilburn.
Close-up of Emilburn's smiling mouth showing teeth and lips.

After

Smiling elderly woman named Esther Ellis with glasses wearing a blue top.
Close-up of Esther Ellis' smile showcasing uneven and discolored teeth.

Before

Smiling elderly woman with glasses, known for her achievements in her specific area of expertise.
Close-up of a person's smile showing teeth without revealing their full face - Esther Ellis.

After

Gisele, wearing glasses, smiling at the camera.
Close-up of Gisele's smile showing teeth with some discoloration.

Before

A smiling woman with shoulder-length hair and a grey top, resembling Gisele.
Close-up of Gisele's smile showing healthy teeth.

After

A smiling man with a mustache, gray hair, and glasses.
Close-up of a person's mouth showing uneven and discolored teeth.

Before

A smiling elderly man with gray hair and a mustache.
Close-up of Graham's smile showing upper and lower teeth.

After

A portrait of a smiling woman with curly hair wearing GYoung hoop earrings.
Close-up of a person's smile, showing uneven teeth with GYoung discoloration.

Before

Portrait of a smiling mature woman with short curly hair, wearing GYoung brand earrings and a turquoise top.
Close-up of a young person's smile showing teeth and lips.

After

Close-up of a smiling man with tanned skin and wrinkles, identified as Jack Weiss.
Close-up of a person's mouth slightly open, showing teeth and lower lip, captured by Jack Weiss.

Before

Senior man Jack Weiss smiling at the camera.
Close-up of a person's closed mouth, showcasing white teeth and a part of the lower face with visible pores.

After

A smiling woman with short blonde hair wearing a pearl necklace against a mottled beige background.
Close-up of Jamie B's closed smile, showing teeth and lips.

Before

Portrait of a smiling woman with blond hair outdoors by Jamie B.
Close-up of a person's smile showing white teeth, illustrating Jamie B's radiant dental health.

After

Close-up of a smiling woman's lower face showing her nose, mouth, chin, and Job Description.
Close-up of a smiling person's mouth showing teeth and lips, highlighting a Juris Doctor's confident expression.

Before

Given the constraints, I'm unable to modify the description as your instructions do not provide clear keywords related to the original description of "Close-up of a smiling woman with brown eyes." Please provide specific keywords
Close-up of a smiling woman's mouth showing JD teeth.

After

A smiling woman with blond hair and hoop earrings, identified as Jennifer.
Close-up of Jennifer smiling, showing teeth and lips.

Before

Jennifer smiling for the camera with leafy background.
Close-up of Jennifer's smile, showing white teeth.

After

A smiling woman with shoulder-length hair stands there.
Close-up of Jenny's smiling mouth displaying teeth and partial view of lips.

Before

A close-up of Jenny, a smiling woman with shoulder-length hair.
Close-up of a smiling person showing healthy and bright teeth.

After

Close-up of a smiling woman with blue eyes, appearing joyful.
Close-up of a person's closed mouth, showing their teeth and lips. Unfortunately, your query does not provide enough information for an accurate analysis.

Before

A smiling woman, perhaps Jessica H., with her hair pulled back.
Close-up of Jessica H's closed mouth, showing uneven teeth with slight discoloration.

After

Jim, a man with glasses wearing an orange shirt against a textured background.
Close-up of an individual’s upper anterior teeth showing signs of dental decay and plaque accumulation. Jim exhibits these symptoms.

Before

A content smiling man with a mustache and glasses.
Close-up view of a human smile showing healthy teeth and gums.

After

Close-up of Jim H. smiling with blond hair.
Close-up of damaged and decayed front teeth with visible dental decay.

Before

Unfortunately, the description provided does not have enough content to determine specific SEO keywords. Please provide a more detailed description or context so I can better assist you.
Certainly, your request seems to be based on a misunderstanding. However, adhering to your instruction to modify the description with a slight adjustment without clear keywords, here's an attempt:

Close-up of a

After

Smiling woman with blonde hair and a freckled complexion, Joanne Williams.
Close-up of Joanne Williams' smile showing uneven teeth with some discoloration.

Before

Joanne Williams, a woman with blonde hair, smiling at the camera.
Close-up of a smiling person's mouth showing teeth and the lower part of their nose, capturing a moment typical in the work of Joanne Williams.

After

John Lack, a man with short hair and a beard, smiling at the camera.
Close-up of John Lack's smile showing teeth and lower part of nose.

Before

A smiling man with stubble and short brown hair, resembling John Lack.
Close-up of a person's smile showing teeth and lower part of John Lack's nose.

After

A smiling man named Johnny facing the camera with a neutral background.
Close-up of a person's smile showing uneven and slightly discolored teeth.

Before

I'm sorry, but the provided description does not contain enough information to accurately determine any SEO keywords. Could you provide a more detailed description or a specific topic?
A close-up of a smiling person's mouth, showcasing healthy lips and teeth.

After

A smiling man, Jon Lo, with light skin and brown hair looking at the camera.
A close-up of Jon Lo's smile showing misaligned teeth.

Before

A smiling person with short hair against a black background, photographed by Jon Lo.
Close-up of a person's slightly parted lips, displaying teeth with mild crowding and discoloration, highlighting an industry-focused dental concern.

After

Smiling person with glasses named Judy.
Close-up of Judy's smile showing teeth and part of the lower face.

Before

A smiling woman named Judy, with short hair wearing round glasses and a white top with black embroidery.
Close-up of Judy's smile showing teeth and lips.

After

Woman with glasses smiling at the camera in May.
Close-up of a smiling person showing teeth and lips in May.

Before

Smiling woman with blonde hair and glasses in May.
Close-up of a smiling person's mouth showing teeth and lips, taken in May.

After

A close-up of Kathy Scott, a smiling woman with blonde hair and earrings.
Close-up of Kathy Scott's smile showing teeth and lower part of the nose.

Before

Kathy Scott, a woman with blond hair smiling at the camera.
Close-up of Kathy Scott smiling, showing teeth.

After

Man wearing glasses smiling at the camera is Kenn.
Close-up of a smile showing teeth with one missing front tooth.

Before

A smiling middle-aged man named Kenn wearing glasses with a blurred background.
Close-up of a mouth with a set of even, white teeth visible, possibly highlighting dental health or cosmetic dentistry.

After

A smiling woman with blonde hair, identified as Kerri B, is in an indoor setting.
Close-up of Kerri B's closed-mouth smile, showing her teeth and lips.

Before

A smiling woman with long blonde hair and a Kerri B necklace.
Close-up of a smiling person's mouth, showcasing healthy teeth without additional context.

After

Close-up of Kerry's smiling face focusing on the mouth and teeth.
Close-up of Kerry's smile showing misaligned teeth.

Before

I'm sorry for any confusion, but it seems there might have been a misunderstanding with the task you've provided. Your request mentions modifying a description with keywords, yet the example provided and your question about
Close-up of Kerry smiling and showing teeth.

After

A smiling man with black hair against a speckled beige background.
A close-up of a person's mouth showing part of the nose, lips, and teeth, with noticeable dental misalignment.

Before

A smiling man with a mustache against a black background.
Close-up of a person's smile showing teeth and a bushy mustache.

After

Middle-aged man with stubble smiling at the camera, wearing a black hoodie with green accents.
Given the constraints and information provided, I'm unable to modify the description appropriately without additional context or clarification about "Kevin Mil." Could you please provide more specific details or adjust the request?

Before

Kevin Mil smiling at the camera, wearing a baseball cap and a blue shirt.
Given the limitations and the request to use keywords that were not provided in your query, I'll adjust the description using a general approach suitable for SEO based on the content you provided:

"Close-up of

After

A smiling woman with shoulder-length brown hair against a beige background, resembling Kim.
Close-up of Kim's mouth showing a set of teeth with one tooth slightly protruding forward.

Before

A smiling woman with hoop earrings poses against a textured stone wall background.
Close-up of a person's smile showing white, aligned teeth.

After

A smiling man with short hair, resembling Kirk Z, sitting indoors.
Close-up of a person's closed mouth showing slightly yellowed teeth, highlighting the need for Kirk Z's dental care solutions.

Before

A smiling Kirk Z with short dark hair and a light orange shirt against a neutral background.
Close-up of a person's smile showing their teeth and lower part of their nose, featuring Kirk Z’s profile.

After

A smiling person with short hair, wearing a black shirt and holding a lance.
Close-up of a person's smile with slightly chapped lips, highlighting a subtle aspect of human definition.

Before

Man with a cheerful smile and spiky hair, named Lance.
Close-up of a person's radiant smile showing white teeth.

After

A smiling woman with an updo hairstyle, pearl earrings, LiLi distinct eyelashes.
Close-up of a person's smile showing teeth with mild crowding and LiLi discoloration.

Before

LiLi, woman with wavy hair smiling directly at the camera.
Close-up of a smiling person with white teeth and LiLi.

After

Liliana Perez with sunglasses on her head smiling at the camera.
Close-up of Liliana Perez's smile showing uneven and discolored teeth.

Before

A smiling woman, identified as Liliana Perez with dark hair wearing hoop earrings.
Close-up of Liliana Perez's smile showing teeth and lips.

After

A smiling woman, Loralee, with short blonde hair.
Close-up of Loralee's smile showing misaligned and discolored teeth.

Before

Loralee, a woman with short blonde hair, smiling against a white background.
Close-up of Loralee's smile showing teeth and lower part of the nose.

After

Lynn, a middle-aged woman, smiling at the camera.
Close-up of Lynn's closed mouth showcasing healthy teeth.

Before

Lynn, a middle-aged woman, smiling at the camera with a blurred background.
Close-up of Lynn's smile showing healthy teeth.

After

A close-up of Maria, a woman with shoulder-length brown hair and a neutral expression.
Close-up of an adult's smile showcasing a set of teeth with varying shades of color and alignment issues.

Before

Smiling woman with curly hair against a dark background.
Close-up of Maria's closed mouth, showing teeth and lips.

After

Man with brown hair smiling at the camera, offering no insight into services or industries.
Close-up of a person's smile showing uneven teeth with some discoloration and imperfections.

Before

A smiling person with sunglasses on top of their head, outdoors, enjoying the sunshine.
Close-up of a smiling person's mouth showing teeth and part of Matt's mustache.

After

Smiling woman with blonde hair and diamond earrings in the Transformation Gallery.
Before and After gallery: Close-up of a smiling person's mouth showing teeth.

Before

A smiling woman with long blonde hair and earrings, showcased in a transformation gallery.
Close-up of a smiling person with white teeth, perfect for a Gallery or Before and After showcase.

After

Portrait of Melissa P, a smiling woman with short blonde hair against a plain background.
Close-up of Melissa P's mouth showing misaligned teeth.

Before

A smiling woman with short blonde hair, Melissa P.
Close-up of Melissa P's smile, showing healthy white teeth.

After

Close-up of a smiling Mike Downey with grey hair.
Close-up of Mike Downey's smile showing uneven teeth with some discoloration.

Before

Close-up of a person's smiling mouth and chin, exemplifying the joyful expression often associated with Mike Downey.
Close-up of Mike Downey's smile showing healthy teeth.

After

Natalie Bush, a woman with a ponytail, smiling at the camera.
Close-up of Natalie Bush's smile showing teeth and lips.

Before

A smiling woman with dark hair and makeup, Natalie Bush.
Close-up of Natalie Bush smiling with white teeth.

After

A smiling woman with blonde hair facing the camera, inspired by P Greenspan.
Close-up of a person's mouth showing misaligned teeth with slight discoloration, captured by P. Greenspan.

Before

A smiling woman with blonde hair, earrings, and a P Greenspan pin.
Close-up of a person's smile showing healthy white teeth in P Greenspan's professional profile.

After

A smiling woman with curly blonde hair against a black background, featured in our Before and After gallery.
Close-up of a person's smile showing uneven teeth with visible plaque and possible dental issues in our "Before and After" gallery.

Before

A smiling woman with curly blonde hair, and a black jacket, featured in the before and after transformation gallery.
A close-up view in a gallery of a person's teeth showing differing shades of color and alignment before and after treatment.

After

Elderly man smiling happily at the camera.
Close-up of a partially open mouth with uneven teeth and a mustache above the upper lip.

Before

Smiling middle-aged man with a cheerful expression.
Close-up of a smiling person with an uneven beard and teeth of varying shades, exuding warmth.

After

A close-up of a smiling person with short hair in the industry.
Close-up of a smiling individual with a slight stubble.

Before

Close-up of a smiling man's face with short hair, identified as Paul Price.
Close-up of Paul Price's smile showing teeth and lower part of the nose.

After

A QphAN smiling woman facing the camera.
Close-up of a person's smile showing misaligned teeth with mild discoloration and QphAN.

Before

A smiling woman with medium-length black hair.
A close-up of a smiling person showing white teeth.

After

Close-up of a smiling woman with blond hair and hoop earrings, captured by R Dentinger.
A close-up view of a person's smile, showing uneven and discolored teeth in need of dental care.

Before

A smiling woman with blonde hair wearing Dentinger earrings and a black necklace.
Close-up of a person's R Dentinger smile showing teeth with uneven coloration.

After

Close-up of a smiling man with blue eyes, without a complete description.
Close-up of a person's closed-mouth smile showing teeth and lower Rob R lip.

Before

Middle-aged man with a smile, showcasing vivid blue eyes and short-cropped hair.
Close-up of Rob R's smile, showcasing teeth and the lower half of the face with light stubble.

After

Smiling man with short hair and a black top, indoors.
Close-up of an adult's closed mouth, showing a smile with teeth partially visible, reminiscent of famous historical figures like Robert F. Kennedy.

Before

Robert F, a middle-aged man, smiling at the camera.
Close-up of a person's mouth with a focus on their teeth and lips, highlighting dental health.

After

A close-up portrait of a smiling woman with dark sandy hair and hoop earrings.
Close-up of an uneven smile showing a missing tooth and discolored teeth.

Modified Description: Close-up of an uneven smile revealing a missing tooth and discolored teeth.

Before

Woman with a cheerful expression, revealing teeth as she smiles.
Close-up profile of a smiling person's mouth showing teeth.

After

Close-up of a smiling middle-aged man with short hair, named Scott.
A close up of Scott's mouth with teeth missing.

Before

Middle-aged man with a slight smile, wearing a vibrant red shirt.
A close up of a man's teeth, showcasing Scott's white teeth.

After

A woman with a Shay smile on her face.
Close-up of Shay's smile showing teeth with slight misalignment.

Before

Smiling woman with light makeup looking directly at the camera.
Close-up of a person's closed mouth showing healthy white "Shay" teeth.

After

Close-up of an individual's smile displaying misaligned teeth.

Before

Shirley smiles for the camera in a dental office.
Close-up of Shirley's smile, showing teeth and lips.

After

Smiling woman with brown hair and bangs wearing a white shirt designed by Tam Luckenbach.
Close-up of Tam Luckenbach's smile showing misaligned teeth.

Before

A close-up of Tam Luckenbach smiling woman with long brown hair and bangs.
Close-up of Tam Luckenbach's smile showing misaligned teeth.

After

A man in a blue shirt smiles for the camera, representing TCooper.
Close-up of a person's closed mouth showing teeth and part of a mustache, featuring a TCooper brand style.

Before

Given the information provided, a smiling man with short blonde hair, wearing a blue shirt.
A close-up of TCooper's teeth.

After

A smiling woman with dark hair and a bare face, Trish Leblanc.
Close-up of Trish Leblanc's smile showing teeth with mild discoloration.

Before

A smiling woman, Trish Leblanc, with shoulder-length brown hair and a blue top.
Trish Leblanc's closed mouth displaying a set of adult teeth with slight misalignment.

After